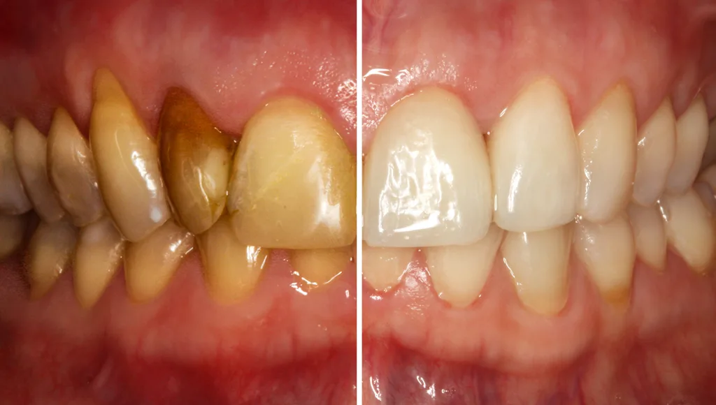
Empowering Patients: How Verified Before-and-After Cases Enhance Dental Decision-Making

Verified before-and-after dental cases on Smile Feed enhance transparency, build trust, and empower patients to make informed decisions by showcasing authentic results and connecting them with trusted dentists.