Authentic Results, Real Growth: Why a Verified Case–Focused Dental Network with Education Matters

Authentic Results, Real Growth: Why a Verified Case–Focused Dental Network with Education Matters

Most dental networks focus on profiles and ads, not on real, verifiable patient outcomes. You deserve more than marketing claims—you want to see authentic dental cases that reflect true results. Joining a dental network centered on verified before and after dental cases and ongoing education builds trust for patients, raises your professional visibility, and connects you with peers in meaningful ways. Here’s why being part of the Dental Resource Network can change how you grow and connect. Learn more about building your dental network and its benefits.

Building Trust Through Verified Cases

Imagine a world where every dental decision is backed by genuine results. This is what verified cases offer. By focusing on real dental outcomes, you transform patient relationships and foster trust.

Power of Real Dental Outcomes

Real results speak louder than any marketing claim. Consider a patient unsure about a dental procedure. Seeing a set of authentic before-and-after photos can make all the difference. Real outcomes not only assure patients of the quality of care but also demonstrate the dentist’s expertise. This transparency shifts focus from generic promises to tangible evidence, allowing patients to make informed decisions. Most people think they can rely on ads alone, but true dental outcomes show the real story.

Importance of Authentic Dental Cases

Authenticity is key in healthcare. When you showcase genuine dental cases, you highlight the journey and success stories of patients. Such cases provide a comprehensive view of what potential clients can expect. This openness doesn’t just build trust; it also enhances your professional credibility. Authentic cases serve as a testament to your skills and dedication, bridging the gap between expectations and reality.

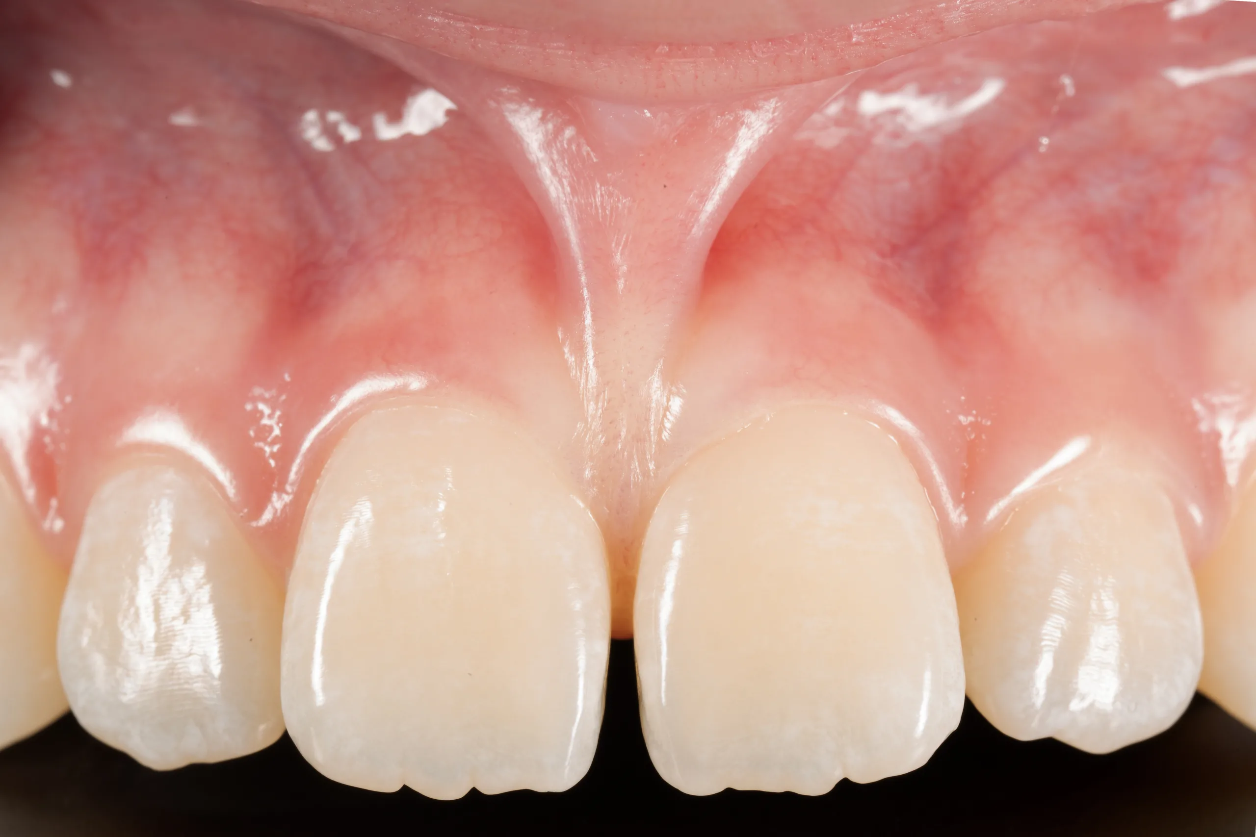
Exploring Before and After Dental Cases

Before-and-after cases are more than just pictures; they are powerful tools for understanding the impact of dental treatments. These cases tell stories of transformation and success. For patients, they offer a visual assurance of potential outcomes. For professionals, they serve as a portfolio showcasing expertise and results. By diving into these cases, patients and dentists alike benefit from a clearer picture of possibilities.

Elevating Dental Professional Visibility

Your work deserves to be seen. Joining a dental network elevates your visibility in ways traditional advertising can’t match. This is not just about exposure; it’s about meaningful connections and professional growth.

Benefits of Dental Network Platforms

Dental networks provide a platform where your work is valued and visible. Sharing your verified cases here means reaching a dedicated audience interested in dental health. Unlike random social media audiences, these platforms connect you with patients actively looking for dental solutions and peers eager to engage. This setting allows for real interactions and growth opportunities, making it easier to expand your practice.

Networking Through Clinical Case Sharing

Sharing clinical cases isn’t just about showcasing skills; it’s about creating dialogue within the dental community. When you share your work, you invite feedback and foster collaborations with peers. This exchange not only enriches your knowledge but also positions you as a thought leader in your field. Clinical case sharing builds a community of support and learning, making your practice part of a larger, knowledgeable network.

Growing with Dental Continuing Education

Continuous learning is vital in dentistry. Dental networks offer resources that keep you updated with the latest techniques and innovations. Engaging in continuing education courses through these platforms ensures your skills remain sharp and relevant. This ongoing learning not only benefits your patients but also enhances your professional development, keeping you at the forefront of dental advancements.

Strengthening Community Collaboration

A strong community is the backbone of a thriving dental practice. Collaborative platforms like the Smile Feed strengthen these bonds and create opportunities for growth and innovation.

Role of the Smile Feed in Connection

The Smile Feed is more than a showcase; it’s a hub for interaction and learning. By sharing cases here, you connect directly with patients and peers. This interactive platform allows for real-time feedback and discussions, fostering a sense of community. It’s not just about sharing results; it’s about building relationships and trust within the dental network.

Enhancing Dental Lab Collaboration

Collaboration with dental labs is crucial for delivering high-quality care. Networks facilitate connections between dentists and labs, streamlining workflows and improving outcomes. By working closely with labs, you ensure precision and quality in every case. This partnership not only benefits your practice but also enhances patient satisfaction by ensuring the best possible results.

Opportunities in the Dental Practice Marketplace

The dental practice marketplace is full of opportunities for growth and innovation. By engaging with this marketplace, you access resources and connections that can transform your practice. Whether you’re looking to buy, sell, or expand, the marketplace offers tools and insights to help you make informed decisions. This proactive approach to managing your practice ensures long-term success and sustainability in the competitive dental landscape.

By focusing on verified results and community collaboration, you elevate your practice and build lasting relationships with patients and peers. The longer you wait to engage with these resources, the more opportunities you miss to grow and connect. Embrace the power of real outcomes and shared knowledge to drive your dental career forward.

Explore real before-and-after smile cases and learn more on Dental Resource Network.