See real before and after smiles and choose the right dentist near you.
🦷 Dental Resource Network – Q&A
Everything You Need, All in One Place
Jobs, education, supplies, clinical support, smile showcases, and more—for the entire dental community, including dentists, hygienists, assistants, vendors, and patients seeking smile transformations.
👨⚕️ For Dentists
▼Here's what's included:
👩🔬 For Other Dental Professionals
▼This keeps the content clean, trusted, and spam-free—focused on quality and professional insight.
😁 For Patients
▼Enjoy everything the Dental Resource Network has to offer—all in one place.
Access jobs, dental offices, CE, supplies, and a network of experts—all in one hub.
Hiring/Staffing
Discover and share dental job opportunities—whether you’re hiring or recommending—covering dental assistants, office managers, dentists, front desk staff and more.
Dental Offices
Explore office listings and dental real estate designed for dentists ready to grow, where brokers can post opportunities, retiring dentists can find buyers.
Continuing Education
Access courses and certifications to sharpen your skills and expand your expertise, or post local courses on any dental topic for your peers to discover.
Marketplace
Discover and source high-quality dental tools, products, and services—new or used—trusted by top professionals and available directly from vendors and fellow dentists.
Dental Lab Forum
A dedicated forum where dentists and dental labs connect to collaborate on digital workflows and streamline every step from design to delivery.
Clinical Forum
Join a discussion where dentists ask questions, discuss clinical cases, share insights, exchange perspectives and help eachother grow.

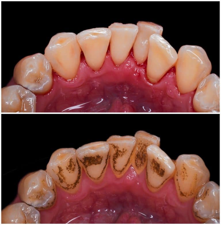
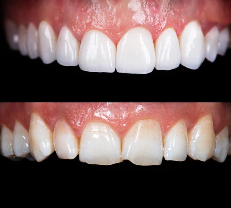
How to Use Before-and-After Smile Cases to Find a Trusted Dentist
Use verified before-and-after dental cases with detailed treatment notes and ethical marketing to find trusted dentists; platforms like the DRN enable informed, transparent patient engagement and community learning.

How a Professional Dental Network Accelerates Your Dental Career
Joining a professional dental network boosts your career by expanding connections, sharing verified cases, accessing jobs, referrals, education, and global collaboration to enhance growth and credibility.

Connected Dentistry: How Community Fuels Professional Growth and Patient Trust
Joining connected dental communities like Dental Resource Network enhances dentists’ skills through peer collaboration and verified case sharing, boosting professional growth and patient trust.