Choosing the Right Dentist Through Verified Smile Cases: A DRN Guide
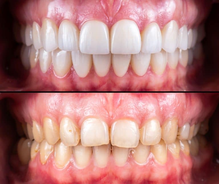
DRN’s Verified Smile Cases offer honest before-and-after dental results, helping patients choose trusted dentists. The platform provides verified profiles, clinical photos, case studies, and a supportive dental community for informed decisions.