Empowering Patients: How Verified Before-and-After Cases Enhance Dental Decision-Making
Seeing real dental results can feel like a guessing game when you only have words to trust. Verified dental cases on Smile Feed change that by showing you authentic before-and-after dental transformations, giving you clear insight into possible dental outcomes. This transparency puts powerful tools in your hands for confident patient decision-making. Explore our Smile Feed today to see real transformations and find the right dentist for you. Learn more about the impact of verified dental cases here.
Importance of Verified Dental Cases

In a world where dental choices can seem overwhelming, verified dental cases offer clarity. They provide an honest look at what you can expect from dental treatments, showcasing real possibilities.
Building Trust with Before-and-After Cases
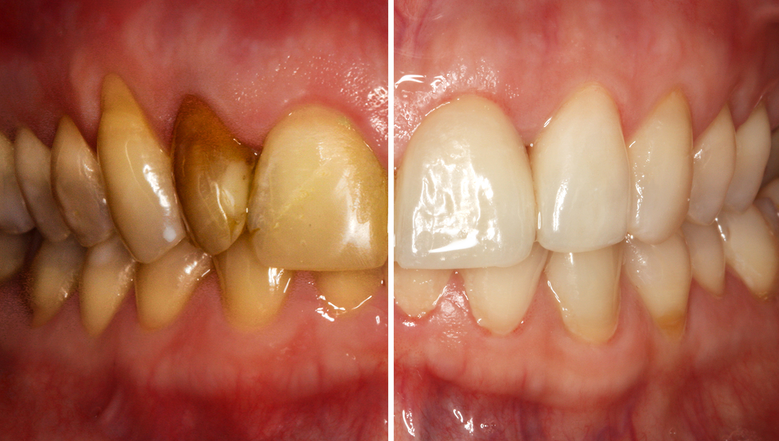
Before-and-after photos are not just images. They are a window into the dentist’s capabilities. Seeing these photos allows you to trust the work of dental professionals. When you see real results, you know what you’re getting into. This trust is crucial when choosing a dentist. You want to know that the person working on your smile is reliable and skilled.
Enhancing Patient Decision-Making
Having access to verified cases empowers you to make informed decisions. You can compare outcomes and understand different treatment options. This information is power. It allows you to weigh your choices confidently. You no longer rely solely on a dentist’s word or generic reviews. Instead, you see the proof in real cases, which helps you make the best decision for your dental care.
Transparency in Dental Outcomes
Transparency is key in any medical decision. Verified cases offer a level of openness that is often missing. You know what to expect, which reduces anxiety and builds confidence. This transparency helps you set realistic expectations.
Benefits for Patients and Dentists

Understanding dental choices benefits both patients and dentists. It creates a partnership where both sides feel informed and secure in their decisions.
Empowering Patients through Knowledge
Knowledge is empowering. When you see real dental work, you gain insights into what’s possible. This knowledge helps you ask the right questions and express your needs clearly. You’re not just a passive participant; you are an active part of your dental journey.
Showcasing Authentic Dental Work
For dentists, showcasing real work builds credibility. It’s not about advertising; it’s about authenticity. By showing what they can achieve, dentists attract patients who value quality. This transparency also sets realistic expectations, making patients happier with their results.
Encouraging Informed Choices
Everyone benefits when decisions are informed. Patients make choices they are confident in, reducing the chances of dissatisfaction. Dentists get to work with patients who understand the process and trust their expertise.
Exploring Smile Feed

Smile Feed is your gateway to real dental transformations. It connects you to a community of trusted professionals and peers.
Navigating Real Transformations
Smile Feed lets you explore real cases at your own pace. You can navigate through various transformations, comparing results and understanding what each treatment entails. This exploration builds your confidence in finding the right dentist.
Connecting with Trusted Dentists
Finding a dentist you trust can be challenging. Smile Feed simplifies this by connecting you with verified professionals. You see their work, read about their expertise, and choose someone who aligns with your needs and expectations.
Community-Driven Support and Collaboration
Being part of a supportive community matters. On Smile Feed, you can engage with others who have undergone similar transformations. You share experiences, ask questions, and find support. This community-driven approach fosters a sense of belonging and collaboration.
Each section of this blog post emphasizes how verified dental cases can transform the way you approach your dental care. By offering a blend of transparency, empowerment, and community, platforms like Smile Feed are reshaping dental decision-making for the better.





