How to Evaluate Before-and-After Dental Cases: A Patient Guide to Trust and Transparency
Before-and-after dental photos can tell powerful stories, but not all images show the full picture. You need clear details and context to evaluate dental cases properly and build real trust. This guide lays out a practical checklist to help you understand treatment outcomes, spot transparency, and connect confidently with dentists on DRN’s Smile Feed. Learn more about the importance of before-and-after photos in building trust.
Understanding Before-and-After Dental Photos

Before-and-after photos can reveal much about dental transformations. Yet, understanding these images requires careful observation.
Evaluating Dental Cases
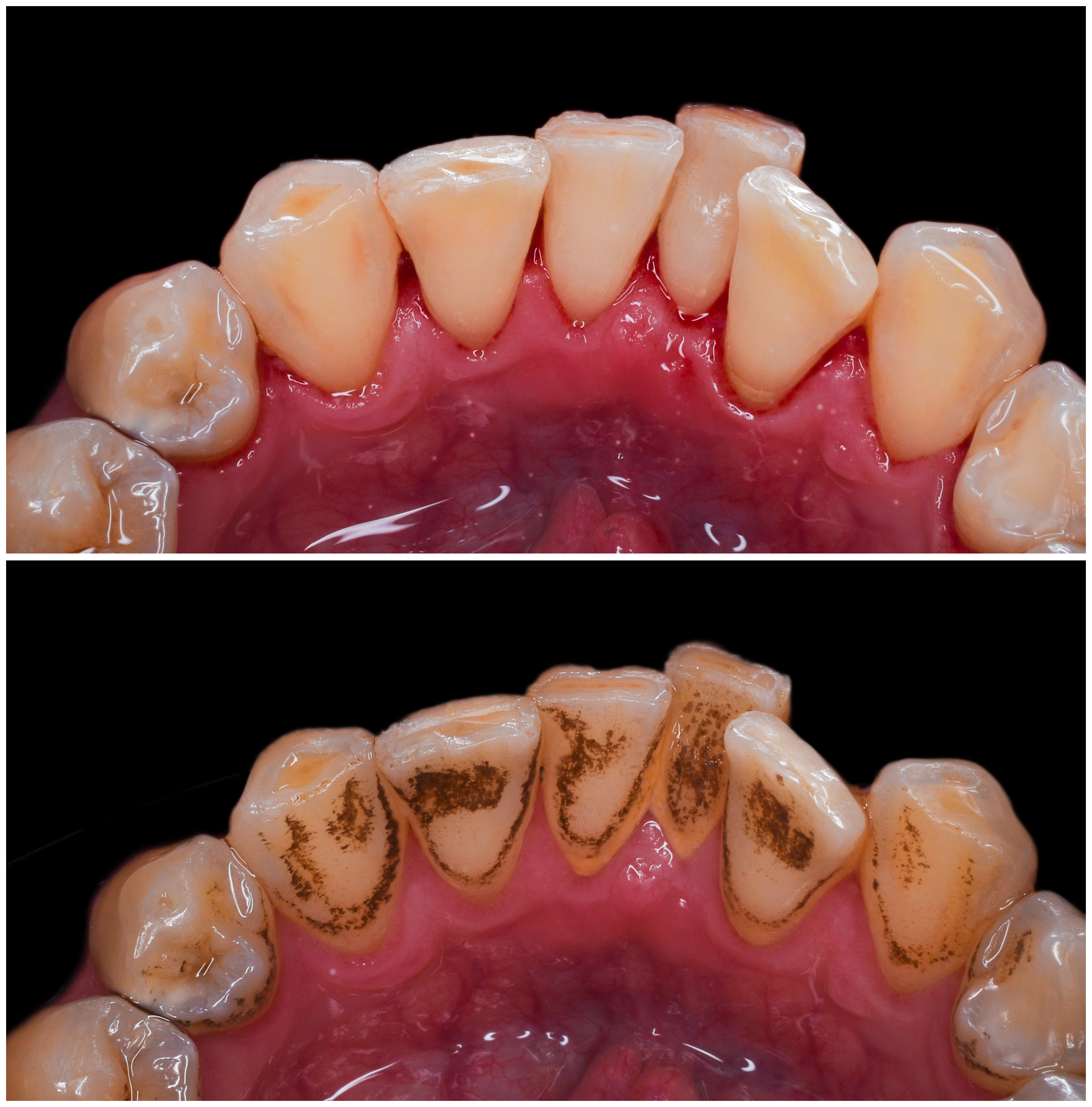
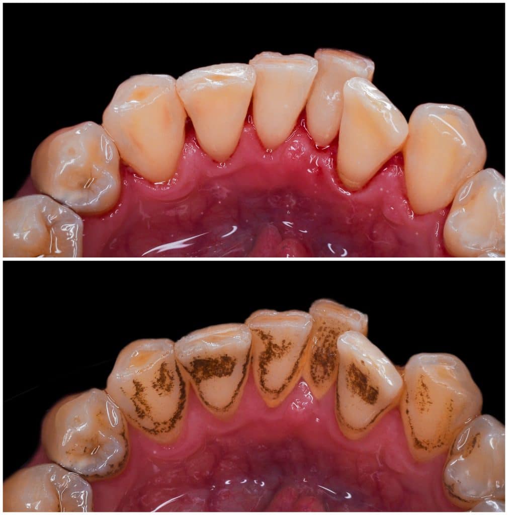
When you look at dental photos, you’re seeking more than just pretty smiles. You’re assessing the expertise behind the work. Check the lighting and angles. Consistent lighting helps ensure the results are genuine, not enhanced by photographic tricks. Are the angles consistent between the before and after shots? Consistent angles provide a clearer picture of the changes. Also, look for detailed descriptions of the procedures. These details help you understand the extent of the transformation.
Dental Case Transparency
Transparency in dental cases means showing the truth behind the transformation. Look for full-face images, not just close-ups of the teeth. Full images provide context about how the teeth fit with the rest of the face. Also, examine if the dentist has shared the challenges faced during treatment. Honest case studies often discuss hurdles and how they were overcome, giving you insight into the dentist’s problem-solving skills.
Key Factors for Assessment

A deeper dive into dental photos can reveal more about the quality of work and the authenticity of the results.
Dental Photography Standards
Dental photography is an art and a science. It involves capturing clear and detailed images that showcase the work accurately. Professional standards include using consistent lighting, such as ring flash, which reduces shadows. Additionally, standardized backgrounds help focus on the teeth rather than distractions. Consistency across photos ensures you’re seeing true results, not variations caused by photography techniques.
Shade Matching and Occlusion
The color and alignment of teeth are crucial in assessing dental cases. Proper shade matching means the new teeth blend seamlessly with the natural ones. It’s not just about aesthetics; it’s about functionality too. Occlusion refers to how upper and lower teeth align. Poor occlusion can lead to discomfort and further dental issues. Be sure the photos show teeth from various angles to assess these aspects thoroughly.
Treatment Planning Context
Understanding the planning behind a dental transformation offers insight into the dentist’s skill. A clear treatment plan indicates thorough preparation and foresight. Look for notes on the treatment objectives and steps taken to achieve them. This context helps you see the journey from problem to solution, reinforcing the dentist’s commitment to quality and patient satisfaction.
Making Informed Connections

Knowing how to interpret dental images empowers you to make better choices when selecting a dentist.
How to Choose a Dentist
Choosing the right dentist involves more than scrolling through photos. Start by researching their qualifications and experience. Check if they are part of professional networks, like DRN’s Smile Feed, which verifies credentials. Consider their approach to patient care—do they offer consultations to discuss potential treatments? Understanding a dentist’s philosophy helps you align your expectations with their services.
Find Your Dentist Online
The internet is a valuable tool for finding a reputable dentist. Use platforms designed for dental professionals and patients, like DRN. These platforms often feature verified cases and patient reviews, offering a well-rounded view of a dentist’s capabilities. Remember to cross-reference information across multiple sources to ensure consistency and reliability.
Verified Dentist Cases
Verified cases are your gold standard. They provide assurance that the work is authentic and performed by qualified professionals. Look for platforms that require dentists to verify their credentials before posting cases. This verification process acts as a quality filter, ensuring you’re viewing legitimate transformations. Explore why verified cases build trust in dental care.
By following this guide, you equip yourself with the tools to assess dental transformations critically. This knowledge not only empowers you to make informed decisions but also builds confidence in your dental care journey. Remember, the key to trust is transparency and quality evidence.