How to Evaluate Before-and-After Dental Cases: A Patient’s Guide to Trust and Transparency

How to Evaluate Before-and-After Dental Cases: A Patient’s Guide to Trust and Transparency

Most before and after dental photos leave you guessing what really changed. You want to know if those smile makeover examples show natural results you can trust. This guide breaks down how to evaluate dental results clearly, so you can compare dental outcomes on the Smile Feed and connect with dentists who meet your goals. For more detailed insights, visit our practical guide.

Evaluating Before-and-After Dental Photos

Identifying Real Dental Cases

You might wonder how to tell if a dental case is genuine. Start by looking for clear, high-quality images. Real cases often have consistent lighting and angles to show true results. Watch for signs like consistent gum lines and natural tooth shapes. These can signal authentic transformations. To dig deeper into understanding dental cases, check out this practical guide.

Understanding Smile Transformation Examples

Smile transformations can vary greatly. Some might involve braces, while others might include implants. Look for detailed descriptions alongside photos. These should explain the techniques used. Not every change is dramatic, but subtle shifts can have big impacts on confidence and aesthetics. Recognizing this can help you appreciate the wide range of smile improvements.

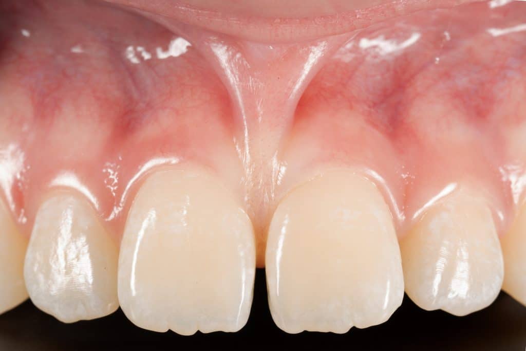
Spotting Natural-Looking Smiles

A natural-looking smile is often the goal. When evaluating, check if the teeth match the person’s facial features. Color should look even, not too bright or artificial. The gums should appear healthy, not swollen or red. Realistic outcomes blend seamlessly with one’s natural appearance. This natural integration is key to a successful dental makeover.

Comparing Dental Outcomes

Veneers Before and After

Veneers can transform smiles dramatically. When comparing outcomes, focus on symmetry and the alignment of teeth. Are the veneers too big or bright? Ideal veneers should enhance, not overshadow. They should fit naturally within the smile contour. This balance is crucial for a convincing transformation.

Dental Implants Before and After

Dental implants offer a permanent solution for missing teeth. When reviewing photos, look for even gum lines and natural tooth color. Implants should integrate smoothly, resembling natural teeth. This seamless blend is essential for both function and aesthetics. For further reading on dental implants, visit this study.

Invisalign Results and Teeth Whitening

Invisalign and teeth whitening results often reveal subtle but impactful changes. With Invisalign, assess the straightness and spacing of teeth. Whitening should enhance the natural color without looking overdone. These treatments are often combined for optimal results. Balance and moderation are key for a polished finish.

Building Trust with Dental Transparency

Connecting Through the Smile Feed

The Smile Feed is a valuable tool for seeing real dental work. Here, dentists share their verified cases, allowing you to view authentic results. Engaging with these posts helps you gather insights about potential dentists. This transparency builds trust and confidence in your decision-making process. Check out a recent Smile Feed post.

Finding a Dentist Through Results

Choosing a dentist through their results empowers you. Focus on those who have showcased cases similar to your needs. Look for variety in their work, indicating versatility and skill. This approach ensures you select a provider aligned with your goals. The longer you wait to explore options, the more difficult it can become to make an informed choice.

Empowering Your Patient Journey 😁

Your dental journey should be empowering. By checking real cases, you gain control over your decisions. This knowledge equips you to ask the right questions and set realistic expectations. Remember, seeing is believing. A confident choice today leads to a brighter smile tomorrow.