How to Read Before-and-After Dental Cases: A Patient’s Practical Guide
Before and after dental photos can feel overwhelming when you’re trying to judge real results from marketing hype. You want to know what’s credible, how to spot quality cases, and which details truly matter. This guide shows you how to evaluate dental cases step-by-step, so you can use Smile Feed with confidence and connect with verified dentists who match your smile goals. For more information, visit this practical guide.
Understanding Dental Case Photos

Before diving into dental case photos, it’s important to understand what you’re looking at. These images can reveal a lot about the outcomes and quality of dental treatments. By learning how to assess these visuals, you’ll feel more confident in your choices.
Evaluating Before and After Dental Photos
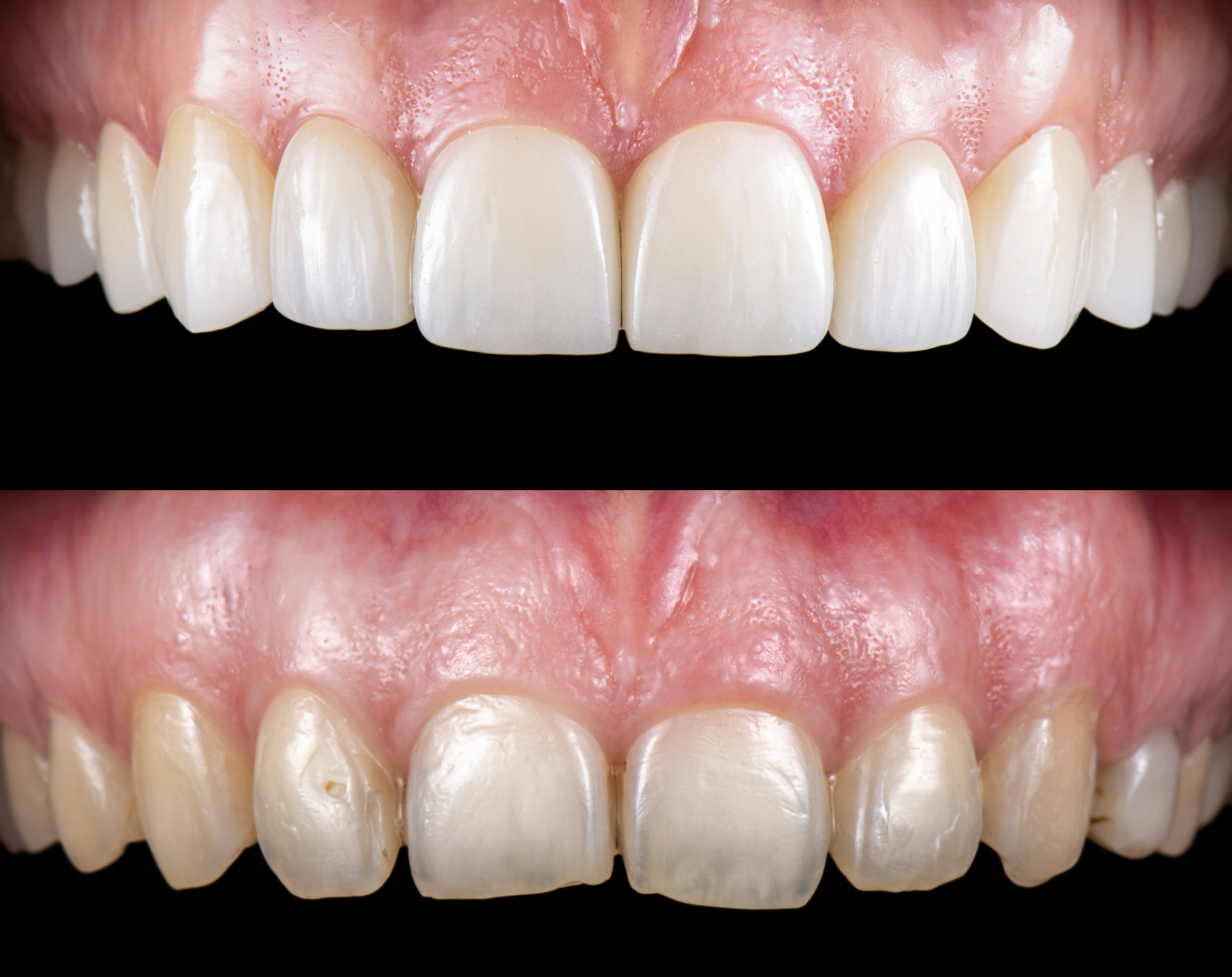
The first thing to do when evaluating dental photos is to focus on consistency. Look at the lighting and angles in the photos. Are they similar? Consistent conditions help you see the real changes. You should also examine the quality of the images. Clear, detailed photos reveal more about the treatment than blurry ones.
Next, consider the timeline of the transformation. Was the procedure completed quickly, or did it take several visits? Quick treatments might not always give lasting results, so understanding the timeline is crucial. Also, take note of any visible enhancements, such as whiter teeth or aligned teeth, and think about how these changes align with your own dental goals.
Recognizing Credible Documentation
Credible documentation is essential for trusting a dental case. Look for detailed treatment notes that explain the procedures used. This transparency builds trust and allows you to understand what might be involved if you choose similar treatments. Many cases include treatment notes and timelines, which can be very informative.
It’s also valuable to see any clinical cases dentistry examples provided by the dentist. These examples showcase the dentist’s skills and can highlight their experience in handling complex cases. If you’re unsure about the credibility of the documentation, don’t hesitate to ask questions. Engaging with your dentist ensures clarity and helps you make informed decisions.
Key Elements of Smile Transformation Examples
When examining smile transformation examples, focus on key elements like tooth color, shape, and alignment. Are the teeth evenly colored and naturally shaped? Color matching in dentistry is vital for natural-looking results. Symmetry and alignment also play a huge role. Properly aligned teeth not only look better but can improve functionality.
Additionally, consider the condition of the gums and tissue surrounding the teeth. Healthy gum tissue should look pink and firm. Gum health and tissue contours are indicators of the overall success of the transformation. By paying attention to these details, you can better judge the quality and long-term viability of the dental work.
Analyzing Cosmetic and Restorative Outcomes

Cosmetic and restorative dentistry offer different benefits. Understanding these can help you choose the right treatment for your needs. Cosmetic work focuses on aesthetics, while restorative efforts aim to rebuild function and health.
Cosmetic Dentistry Outcomes
Cosmetic dentistry enhances the appearance of your smile. Common procedures include teeth whitening, veneers, and bonding. When evaluating these outcomes, focus on symmetry and color consistency. A successful cosmetic procedure will leave teeth looking natural and aligned.
Another aspect to consider is how the cosmetic changes impact your overall facial appearance. Sometimes, even small adjustments can lead to significant improvements. Always weigh these factors when deciding if cosmetic dentistry is right for you. Remember, the best cosmetic outcomes seamlessly integrate with your existing features.
Restorative Dentistry Case Studies
Restorative dentistry is about function. It involves treatments like fillings, crowns, and implants, aiming to restore your teeth’s health and functionality. When assessing case studies, look at the durability of the materials used. Strong materials ensure that your restorations last longer and function well.
Also, check for any treatment notes that explain the process. Understanding the steps taken during the restoration helps you appreciate the complexity and skill involved. This knowledge can also guide you in maintaining your dental health post-treatment, ensuring lasting outcomes.
Evaluating Tooth Morphology and Symmetry
Tooth morphology refers to the shape and form of teeth. Evaluating this in dental cases is key to understanding the success of a treatment. Look for symmetry and proportion among the teeth. Symmetrical teeth contribute to a harmonious smile and often function better.
Another important aspect is bite alignment before after treatment. Proper alignment ensures that your bite is comfortable and functional. If the case study includes x-rays or detailed images, these can provide insight into the skeletal aspects of the dental work. This level of detail helps you make informed choices about your dental care.
Leveraging DRN’s Smile Feed

Now that you know how to assess dental photos, the next step is using tools like DRN’s Smile Feed to make informed decisions. Smile Feed allows you to explore verified dental cases and connect with trusted professionals.
Connecting with Verified Dentist Cases
Smile Feed connects you with verified dentist cases, ensuring you see high-quality work. Verified cases mean the dentists have been vetted, providing an added layer of trust. This connection to reliable professionals can ease your decision-making process.
Using Smile Feed, you can browse through numerous before-and-after images and detailed case descriptions. This exploration can help you find a dentist whose work aligns with your goals. The more you engage with these examples, the better you become at recognizing quality dental work.
Exploring Clinical Cases Dentistry
Exploring clinical cases on platforms like Smile Feed expands your understanding of dental procedures. These cases often include detailed explanations and sometimes even videos. Such resources provide insights into modern dentistry techniques and practices.
By actively exploring these cases, you’re not only learning about treatments but also about the dentists behind them. Knowing the professionals’ capabilities helps you feel confident in their skills. It empowers you to make well-informed dental decisions that are right for your needs.
Making Informed Dental Decisions
Making informed decisions about your dental care is crucial. With the knowledge you’ve gained from evaluating photos and exploring Smile Feed, you’re better equipped to choose treatments that suit your goals. Always remember to ask questions and seek clarification from your dentist.
As you continue your journey through dental care, leverage the resources and connections available through DRN. By doing so, you ensure that your decisions are backed by reliable information and professional insights. This proactive approach to your dental health will lead to more satisfying and successful outcomes.
Explore real before-and-after smile cases and learn more on Dental Resource Network.