How to Use Before-and-After Dental Cases to Educate Patients and Build Trust
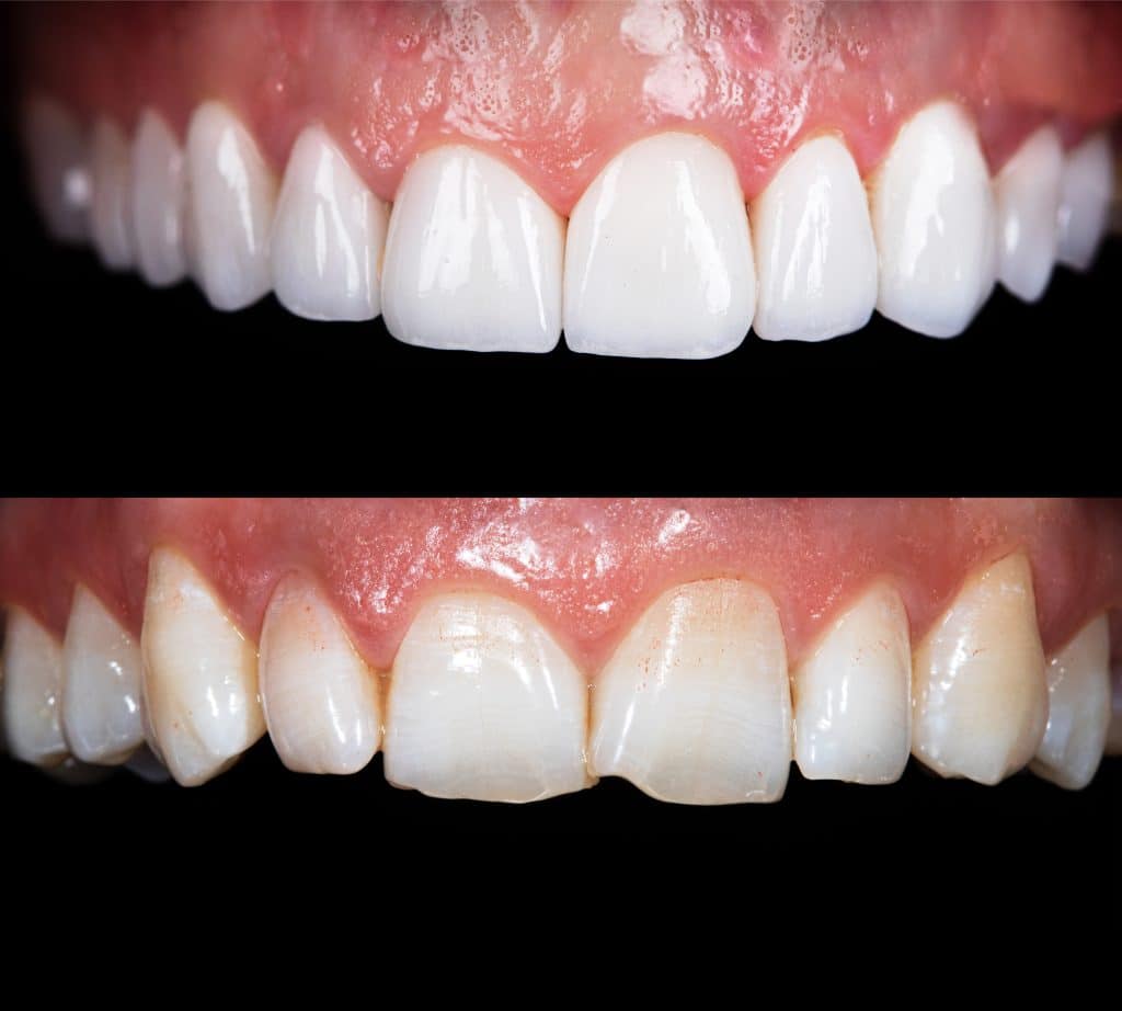
Before-and-after dental cases are more than images—they’re powerful tools that build trust and educate patients clearly. If you want your practice to stand out, showing real results with ethical case sharing and solid dental case documentation is key. In this guide, you’ll learn how to use these cases to foster transparency, engage patients, and connect with peers on DRN’s Smile Feed.
Ethical Case Sharing Strategies

Sharing dental cases ethically is about more than just showing results. It’s about creating an educational moment for your patients and peers. Let’s explore how to do this effectively.
Select Cases with Learning Value
Choose cases that not only showcase results but also provide valuable insights. Look for cases that can teach something specific: a unique technique or a challenging situation overcome. By selecting cases with clear learning benefits, you empower your audience. This approach not only educates but also helps build your credibility as a thoughtful and skilled practitioner.
Ensure Informed Consent and Privacy
Patient consent is crucial. Before sharing any images or details, ensure you have the patient’s written permission. Explain how the case will be used to educate others. Protecting patient privacy builds trust. It shows your commitment to ethical standards. Ensure that all identifiable information is removed or properly anonymized. This practice keeps you compliant with privacy laws and maintains the patient’s trust.
Write Accessible Case Captions
Captions should be clear and easy to understand. Avoid jargon, and focus on explaining the what and why of the treatment. Use simple language to describe the procedure and its benefits. This makes the case accessible to both patients and other dental professionals. An effective caption can transform a simple image into a powerful educational tool that speaks to a wide audience.
Practical Photography and Documentation

Good documentation is key to showcasing your work effectively. Here’s how to ensure your case presentations are top-notch.
Standardize Dental Photography Techniques
Consistent images enhance the professional quality of your case documentation. Use the same lighting, angle, and background for every photo. This standardization not only improves clarity but also helps in comparing before-and-after results. Standard techniques make your portfolio look polished and professional, giving you an edge in credibility.
Maintain HIPAA-Safe Case Sharing
When sharing cases, patient privacy must remain a priority. Follow HIPAA guidelines strictly to protect patient information. This includes securing all digital files and ensuring any shared materials are compliant. By prioritizing HIPAA-safe practices, you not only protect your patients but also enhance trust and credibility among your peers and clients.
Tagging for Case Discoverability
Using tags effectively can increase the visibility of your cases. Tags should be specific and relevant: think of them as keywords that potential patients or peers might search for. For example, use terms like “restorative dentistry” or “cosmetic dentistry” to make your cases more discoverable. This practice ensures that your work reaches the right audience, enhancing educational impact and professional reach.
Engaging on DRN’s Smile Feed

DRN’s Smile Feed is your platform to connect, share, and learn. Here’s how to make the most of it.
Build Trust with Verified Dentist Cases
Posting as a verified dentist adds credibility to your shared cases. Patients and peers are more likely to trust and engage with content that is backed by verified professionals. This trust can lead to more inquiries and increased patient confidence. Position yourself as an expert by actively sharing your successful cases and participating in discussions.
Compare Smile Gallery vs Smile Feed
The Smile Gallery is often static, while the Smile Feed is dynamic and interactive. Use the Smile Feed to engage directly with patients and peers through comments and discussions. Unlike static galleries, the Smile Feed allows for real-time interaction, making it a richer tool for patient education and professional networking. This differentiation can enhance your practice’s visibility and engagement.
Connect Through the Connection Hub
The Connection Hub is more than just a networking tool; it’s a resource for growth and development. Here, you can access educational materials, join forums, and connect with industry peers. By engaging with the Connection Hub, you open doors to opportunities for professional growth and collaboration. It’s a platform to not only showcase your work but also to grow and learn alongside fellow professionals.
In conclusion, before-and-after dental cases can be powerful tools when shared ethically and effectively. By selecting valuable cases, maintaining privacy, and engaging on platforms like DRN’s Smile Feed, you build trust and educate your audience. Remember, the goal is to create a community of learning and connection, enhancing both your practice and the industry as a whole.
Explore real before-and-after smile cases and learn more on Dental Resource Network.