How Verified Before-and-After Dental Cases Transform Patient Decision-Making
Seeing genuine before-and-after dental cases makes all the difference when choosing care. Verified dental cases build patient trust by showing real results from trustworthy dental professionals. On the Dental Resource Network, you’ll find clear, authentic dental case studies that guide patient decision-making with confidence. Join us to explore these transformations and connect with experts who share their work openly. For more insights, check out this article.
Building Patient Trust with Verified Cases

Building trust is the cornerstone of choosing the right dental care. When you see real cases, it becomes easier to make informed decisions. This doesn’t just happen by accident; it’s about making connections.
Importance of Verified Dental Cases
Real-life examples matter. They show what can actually be achieved. For you, this means seeing results from actual patients, not just marketing images. Verified dental cases are like a truth serum for the dental world, offering clarity and confidence in decision-making. Unlike generic reviews, these cases provide a snapshot into what you can expect. Many patients find that seeing is believing, especially when it comes to their smiles.
Enhancing Patient Decision-Making
Choosing a dental professional is a big decision. Real case studies help make this choice clearer. When you see transformations that mirror your needs, it feels like the right path. Verified cases serve as a guide, showing authentic possibilities. They take the guesswork out and put facts in front of you. Experiencing transparency in this way empowers you to make choices that align with your needs, based on evidence rather than assumptions.
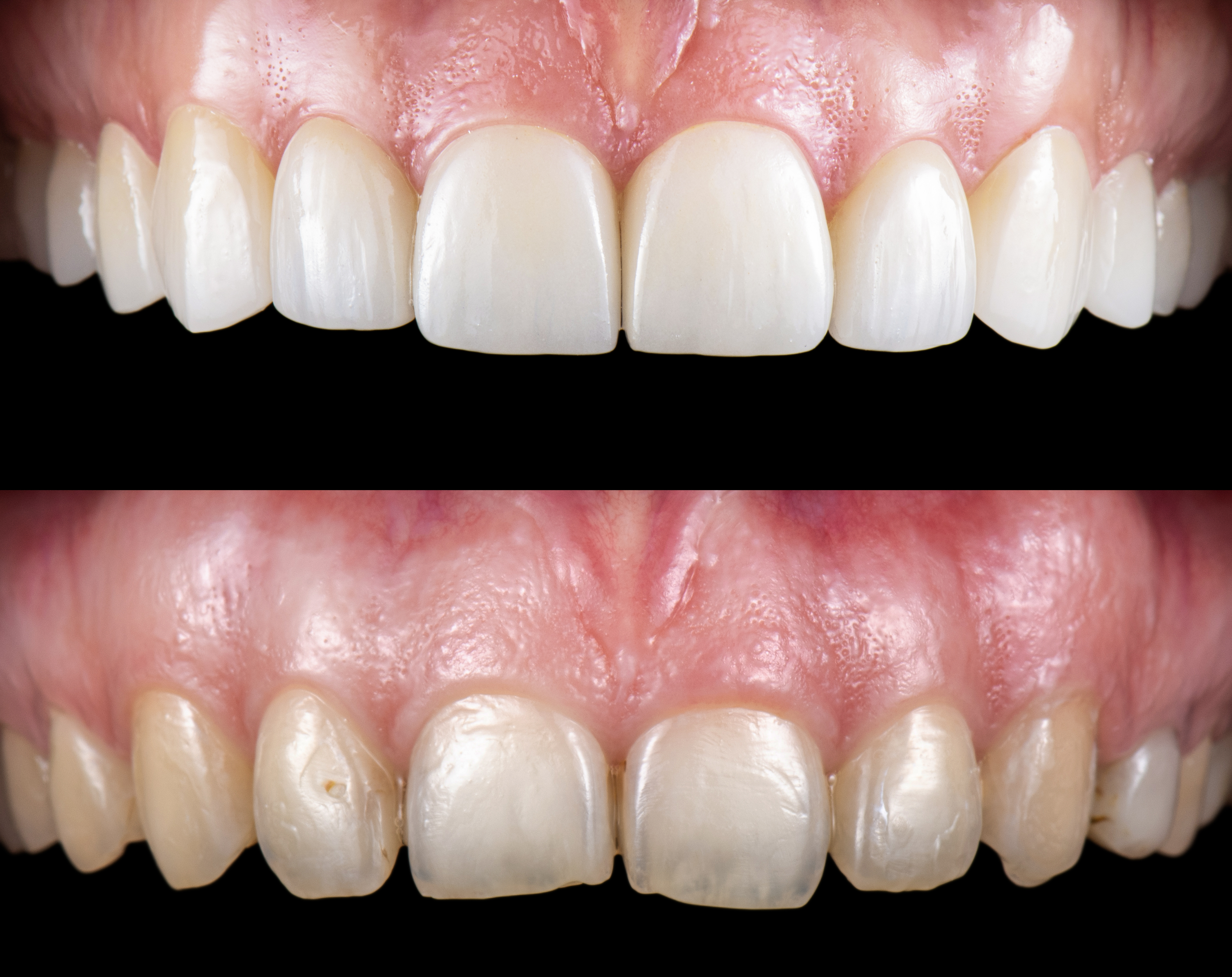
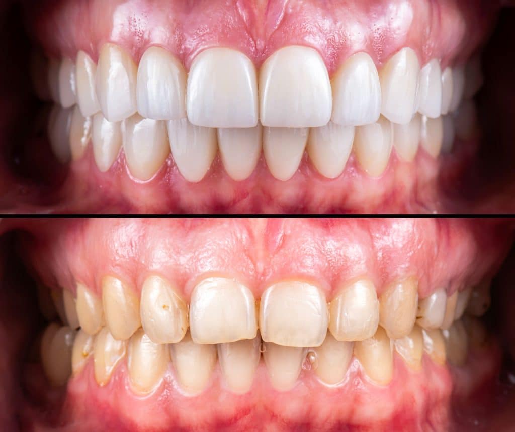
Role of Before-and-After Dental Images

Before-and-after images are more than just photos; they are stories of change. They demonstrate what skilled professionals can achieve and provide a realistic view of what dental care can offer.
Impact on Patient Confidence
Visual evidence is a powerful motivator. When you see a smile transformation, you visualize your own potential outcome. This builds confidence and encourages you to take action. Studies show that 75% of patients feel more assured when they see before-and-after images. It’s not just about aesthetics; it’s about seeing proven results that inspire trust and action. So, when you see these transformations, you’re not just choosing a treatment—you’re choosing a future smile.
Trustworthy Dental Professionals
Professionals who share their work transparently earn trust. When dentists open their portfolios for you to see, it shows commitment and honesty. This is crucial. You want a dentist who is proud to show their results. At Dental Resource Network, only verified professionals share their cases, ensuring quality and trust. This transparency builds a bridge between you and your potential dentist, making the decision process smoother and more reliable.
Engaging with the Dental Resource Network

Engaging with a community that values transparency and expertise makes all the difference. Dental Resource Network is that community, offering a platform for real connections and growth.
Connecting Patients and Professionals
This network is about more than sharing cases. It’s about building relationships between you and dental professionals. When you engage with the Dental Resource Network, you step into a world where patients and professionals learn and grow together. It’s a space designed to facilitate meaningful connections that go beyond a simple appointment. Professionals are here to listen, share, and help.
Benefits of Joining the Community
Joining this community opens doors to a wealth of resources. From networking to educational tools, the benefits are immense. As a patient, you get access to a pool of experts eager to share their knowledge. For professionals, it’s a chance to showcase your skills, expand your network, and learn from peers. The longer you wait, the more opportunities you miss. Embrace the chance to be part of something bigger, where everyone benefits from shared expertise and support.
Explore more about improving dental practices here. The Dental Resource Network is your go-to place for authentic dental connections, elevating both patient trust and professional credibility.